Özel Denizli Tekden Hastanesi'nde görev yaptığı dönemde de başarılı çalışmalara imza atan Radyoloji Uzmanı Prof. Dr. Nevzat Karabulut, kalpteki gizli deliklerin hayatı tehdit eden paradoks emboliye neden olabildiğini ortaya koydu.
Kalp ve akciğer görüntülemesi alanındaki uluslararası bilimsel çalışmalarıyla tanınan Radyoloji Uzmanı Prof. Dr. Nevzat Karabulut, dünyanın önde gelen tıp dergilerinden Radiology dergisinin 2025 Kasım sayısında yayımlanan 'Paradoxical Embolism with Clot-in-Transit in Atrial Septal Defect' adlı çalışmasında, penis ameliyatından 5 gün sonra ani göğüs ağrısı, nefes darlığı ve kol uyuşması şikâyetiyle hastaneye başvuran 60 yaşındaki bir hastada, daha önce fark edilmemiş kalp odacıkları arasındaki bir delikten geçen pıhtının hayati tehlike oluşturduğunu ortaya koydu.
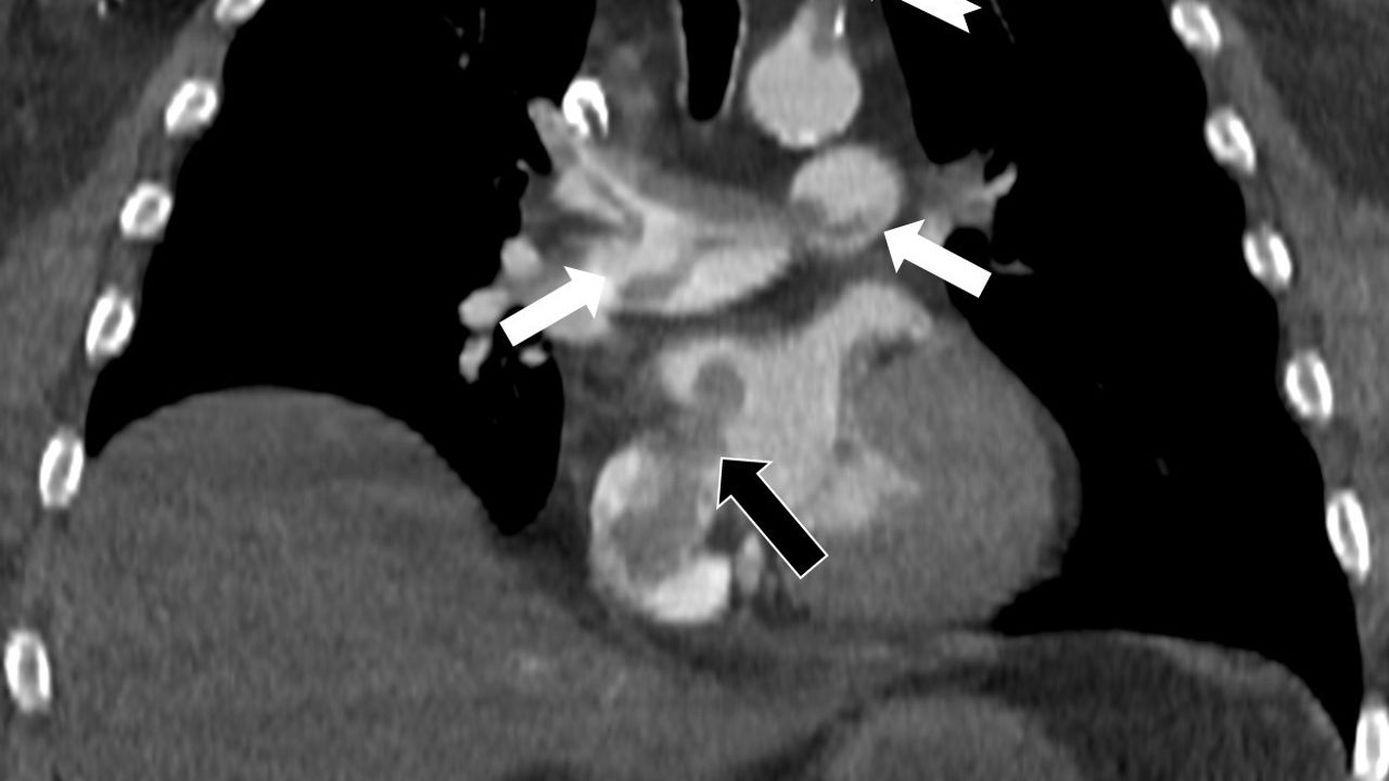
Bir dönem Özel Denizli Tekden Hastanesi'nde de görev yapan Prof. Dr. Nevzat Karabulut'un yaptığı çalışmada; akciğerin bilgisayarlı tomografi anjiyografisi sayesinde toplar damarlardan kaynaklanan pıhtının akciğer damarlarını tıkaması yanında, kalpteki delik nedeniyle kalbin sağ tarafından sol tarafına geçerek ana atardamara ulaştığı ve sol kol damarını tıkadığı gösterildi.
Emboli görüntülemesi konusunda çok sayıda bilimsel çalışması bulunan Prof. Dr. Karabulut, genelde bacak damarlarından kaynaklanan pıhtıların ölümcül olabilen akciğer embolisine yol açması yanında, kalp deliği olan hastalarda ana atardamar yoluyla beyin, kol ve bacak gibi vücudun diğer bölgelerine de geçerek ani damar tıkanmasına (paradoks emboli) bağlı bulgulara yol açtığını belirtti. Prof. Dr. Karabulut'un çalışmasında nedeni bilinmeyen pıhtı atmalarında kalpteki gizli deliklerin mutlaka araştırılması gerektiği vurgulanarak ekokardiyografi ve bilgisayarlı tomografi tetkiklerinin erken ve doğru tanı koymada hayat kurtarıcı rolüne dikkat çekildi.




